Neurology and Neurosurgery
Recently Added
A Complex Surgical Repair for Aneurysm Highlights the Importance of a Multidisciplinary Stroke Team
The Emory Department of Neurosurgery established the first multidisciplinary stroke center in the region to include neurosurgeons, interventional neuroradiologists, stroke neurologists and neurocritical care specialists. As part of the ...
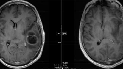
Awake Craniotomy with Fluorescent Guidance: A Case Study
Glioblastoma is the most common and lethal type of malignant brain tumor due to its aggressive nature and ability to rapidly invade surrounding functional brain tissue. One of the most important prognostic factors for patient survival ...
A New Strategy for Identifying the Cause of Cryptogenic Stroke
Stroke neurologists at Emory Brain Health Center are evaluating a novel blood biomarker profile to help identify the underlying cause of cryptogenic stroke. Their recent clinical study, published in Neurology (May 5, 2020), demonstrates ...
Deep Brain Stimulation for Epilepsy at Emory Brain Health Center
Emory Brain Health Center was the first in the nation to use deep brain stimulation (DBS) to treat a patient with medically refractory, or drug-resistant, epilepsy when it was commercially approved in 2018. The minimally invasive procedure ...
Emory Neurosurgery First in Southeast to Use WEB® Device to Treat Aneurysm
For Emory Brain Health Center’s neuroendovascular team – consisting of neurosurgeons, neuroradiologists, vascular neurologists , neurointensivists, along with radiology technicians, PAs, APRNs, and RNs – this procedure was at the same ...
