Winship at Emory’s Team Approach to Lung Cancer Care
By Suresh S. Ramalingam, MD, FACP, FASCO
Director, Lung Cancer Program of Winship Cancer Institute of Emory University
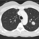
In 2015, during a routine chest X-ray, a visible mass was noted in the upper left lobe of a previously healthy 55-year-old woman. At Winship Cancer Institute of Emory University, a CT scan revealed a 2-cm nodule. In the first of what would be several presentations, her case went before Winship at Emory’s multidisciplinary lung cancer board, consisting of specialists in thoracic surgery, medical oncology, radiation oncology, surgical oncology, pathology and pulmonology. The board’s recommendation was surgery. Removal of the left upper lobe was performed at Emory Saint Joseph’s Hospital. On pathology, the tumor was found to be an atypical carcinoid tumor that had spread to the regional lymph nodes.
Although lung cancer is common — the second most frequently occurring cancer for both men and women in the United States and by far the most common cause of cancer death — advances in understanding its biology, genomics and immunology increasingly allow lung cancer diagnosis to be broken into smaller and smaller subsets, leading to utilizing personalized treatment for every patient.
The patient did an extensive search for a center with a team approach and experience in managing a broad range of tumor types, including her own rare subtype. She discovered, in her words, that the experts “were next door.” Because of the experience and reputation of Winship at Emory’s dedicated thoracic oncology team, clinicians receive numerous referrals from oncologists seeking specialized care for their patients. The team had broad experience in managing both common and uncommon subsets of lung cancers, including this patient’s specific type of cancer.
Now, for the second time, her case was presented before Winship at Emory’s multidisciplinary lung cancer board. This time, based on pathology findings and the increased risk of recurrence due to lymph node involvement, the collective decision was to administer adjuvant chemotherapy. She completed the recommended four cycles of platinum-based chemotherapy in December 2015.
For more than two years, her life returned to normal, except for regular follow-up scans. In March 2018, however, a scan showed a new lymph node in the mediastinum. With Endo-Bronchial Ultrasound Bronchoscopy, an ultrasound-guided biopsy was conducted, and the node was determined to be a local recurrence of cancer.
Baseline CT Scan of a visable 2-cm nodule in the upper left lobe of the lung
Once again, the patient’s case was presented before the multidisciplinary lung cancer board, which now recommended radiation. Under the care of the radiation oncology team at Emory University Hospital, a total of 64 gray (Gy) of radiotherapy was administered; 20 Gy was delivered to the mediastinum using a Stereotactic Body Radiation Therapy technique, involving delivery of a single high-dose radiation treatment to a highly precise treatment field. This was followed by 44 grays of conventional radiation.
She completed radiation in May 2018. Although back to a full life of tennis, dancing, travel and family, she finds comfort in knowing her team has a “Plan B” should her cancer return. At Winship, this might include one of the nearly 400 active clinical trials, including 65 studies available for different types of lung cancer.
This case reflects Winship at Emory’s team approach to patient care, bringing to bear the multidisciplinary perspective of the cancer tumor board and the seamless flow of the patient through diagnosis and different treatment modalities. It also illustrates the multidisciplinary lung cancer team’s commitment to integrating patient care with research. As Georgia’s first and only National Cancer Institute (NCI)- Designated Comprehensive Cancer Center, Winship is a leader in finding new ways to defeat cancer.
In July 2019, Winship received the NCI’s Specialized Program of Research Excellence (SPORE) Lung Cancer award, given in recognition of its efforts to improve outcomes specifically for patients with lung cancer. Winship’s five-year, $9.7 million Lung Cancer SPORE is the only grant of its kind to be awarded in the state of Georgia and one of only four SPORE grants in the U.S. dedicated to lung cancer. As Winship clinicians, clinical researchers and basic scientists work hand in hand, their findings are positively impacting outcomes for patients at Winship and across the world.
Refer patients to Winship Cancer Institute of Emory University
Winship Cancer Institute of Emory University is committed to the continued health and safety of all patients. During this time, we are taking all necessary precautions to screen for coronavirus (COVID-19) and to prevent its potential spread. We continue to monitor the evolving COVID-19 pandemic and are working with experts throughout Emory Healthcare to keep your patients safe. For the most up-to-date information for our referring partners, click here
Winship Cancer Institute Clinical Trials
New options in cancer care come available rapidly, and the experts Winship Cancer Institute of Emory University specialize in personalized treatment plans to help your patients thrive. The right referral can make all the difference.
Winship is currently participating in nearly 400 interventional clinical trials for patients with a wide range of cancers, both early and late stage.
Since Winship is the only National Cancer Institute- Designated Comprehensive Cancer Center in Georgia, our clinical research portfolio contains innovative, cutting-edge trials not offered elsewhere in the state. We also have first-in-human studies of new drugs targeting other pathways that can activate the immune system against cancer.
Every year, more cancer clinical trials at Emory are taking advantage of new findings on the effectiveness of immunotherapy, especially for cancers that have spread. We currently have several clinical trials with immune-modulating agents available for the treatment of patients with NSCLC and SCLC.
